|
日常生活中,因為飲食習慣等原因,胃病越來越普遍。胃酸過多是胃腸疾病常見病因之一。奧美拉唑被稱為“抑酸神藥”,從研發至今已有50多年悠久歷史。也是各藥房常見藥物。它作為全球第一個質子泵抑制劑(PPI),被廣泛用于胃及十二指腸潰瘍,反流性食管炎等的治療,效果顯著。 隨著時代的發展,藥物的雜質控制以及要求越來越嚴格,菲羅門整理幾個關于奧美拉唑以及其雜質的研究的案例,進一步助力科研分析者。
一、奧美拉唑的含量測定 方法:USP 色譜柱:Titank C8 5μm 150×4.6mm(貨號:FMF-5556-EONU) 流動相: PH7.6磷酸氫二鈉緩沖液 :乙腈=75:25 流速:0.8ml/min 進樣體積:20μL(0.1mg/mL) 檢測波長:280nm 溫度:25℃
二、奧美拉唑鈉有關物質 色譜柱 :SuperLu C8(2) 5um 250×4.6mm(貨號:FMG-5249-EONU) 流動相:0.01mol/L 磷酸氫二鈉溶液(用磷酸調節 pH 值至 7.6)-乙腈(75:25) 流速:1.0ml/min 進樣體積:20μL 檢測波長:280nm
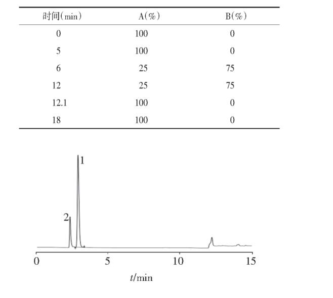
三、注射用奧美拉唑鈉中EDTA-2Na·2H2O含量差異測定方法 (方法摘自于《天津藥學》2022年34卷第6期) 色譜柱:Titank C18 250X4.6 5U (貨號:FMG-5560-EONU) 流動相A: 0.5%磷酸二氫銨(用磷酸調pH至3.0) 流動相B:乙腈 波長:254nm ,流速 1ml/min,樣量為 20μl,柱溫30℃ 梯度如下
四、艾司奧美拉唑鈉對映異構體的檢測方法 2015年中國藥典公布了艾司奧美拉唑鈉原料中對映異構體的測定方法,采購AGP手性柱(α1-酸性糖蛋白鍵合硅膠柱)進行測定,但此款蛋白手柱存在價格高,重現性差,蛋白易變性損壞等不足。遂本法改用多糖衍生手性柱測定艾司奧美拉唑鈉對映異構體,進一步優化,顯著性降低成本,提高方法的穩定性,彌補AGP糖蛋白柱價格高,重現性差等不足。
以下方法摘自揚子江藥業集團有限公司發明專利CN 112666304 A. 色譜柱:Chiral MZ(2)-RH 5u(貨號:FMG-AC5-B02-R) 流動相:20mM NH4CO3溶液-乙腈-甲醇=50:30:20 體積比 流速0.8ml/min 波長:302nm ; 進樣量 20ul
奧美拉唑(RT=15.692)與其對映異構體R-奧美拉唑(RT=22.912)分離度6.47且其它雜質均不干擾,R-奧美拉唑靈敏度在0.15ug/ml至1.17ug/ml范圍呈現良好線性。 上述應用中所含產品訂購信息: 方法一貨號:FMF-5556-EONU 描述:Titank C8 5u 150×4.6mm 方法二貨號:FMG-5249-EONU 描述:SuperLu C8(2) 5u 250x4.6mm 此柱建議用耐堿的Titank C8 5u 250*4.6mm(貨號:FMG-5556-EONU)取代 方法三貨號: FMG-5560-EONU 描述:Titank C18 5u 250X4.6mm 方法四貨號:FMG-AC5-B02-R 描述:Chiral MZ(2)-RH 5u 250*4.6mm
特別說明:因為該品種在樣本制備過程中用到強無機堿氫氧化鈉,實際樣品在進入色譜柱時,往往強堿性。所以很多在檢測含量與有關物質時,C8柱經常因為不耐堿而不耐用。Titank C8柱的PH=1-12,且耐純水。在眾多相關項目檢測的客戶中,壽命評價都遠高過其它同類色譜柱。 任何進一步了解,請隨時致電020-22826668聯系公司銷售代表咨詢。 |
- 上一篇:非奈利酮手性異構體分析方法研究
- 下一篇:左卡尼汀及其雜質以及手性異構體的分析

原文獻可以參考:1006-5687(2022 )06-0001-04

